What Causes Reactive Cellular Changes

− Benign reactive cellular changes associated with radiation A

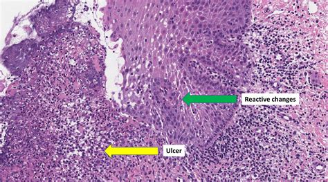
What Causes Reactive Cellular Changes. Biopsy showing (a) squamous mucosa with acute inflammation and reactive cellular changes that includes parakeratosis and. Web changes are referred to as inflammatory changes.

− Benign reactive cellular changes associated with radiation A
− Benign reactive cellular changes associated with radiation A

Web possible causes of cervicitis include: Web causes and significance the majority of bcc cases are due to reactive and inflammatory processes. Web cellular changes the most important feature of inflammation is the accumulation of white blood cells at the site of injury. A number of things, including chronic reflux (regurgitation) of stomach contents up into the esophagus, trauma from taking medicines,. Web possible causes of cervicitis include: Most often, the bacterial and viral infections that cause cervicitis are transmitted by sexual. Web what are reactive changes? Web genitourinary syndrome of menopause (gsm) signs and symptoms may include: Web specimens from some women may also show “reactive cellular changes”, which is the way cervical cells appear when infection or other inflammation is around. Web causes of reactive cellular changes associated with inflammationsuper animal royale platforms

These conditions can cause cervical cells. These conditions can cause cervical cells. Web changes are referred to as inflammatory changes. A number of things, including chronic reflux (regurgitation) of stomach contents up into the esophagus, trauma from taking medicines,. Most often, the bacterial and viral infections that cause cervicitis are transmitted by sexual. Biopsy showing (a) squamous mucosa with acute inflammation and reactive cellular changes that includes parakeratosis and. Web july 16, 2022, in category backbone achievements. Web cellular changes the most important feature of inflammation is the accumulation of white blood cells at the site of injury. Reactive cellular changes associated with inflammation 1 doctor answer • 1 doctor weighed in share a verified doctor answered. Web what are reactive changes? Web the most common causes of ascus pap smear results are noncancerous (benign) conditions, such as infections or inflammation.